Lakruzz

Blogs by Lars Kruse

Lakruzz Blog WolfWare
Category Blogs på dansk  
By:  lakruzz  
On: Friday, August 24. 2018
Tags: | Low-carb diæt |  Motion |  Blodprop | 

Jeg har ikke lyst til at dø

Jeg har lyst til det hele i dag. Jeg har lyst til at ta’ en bid af alting. Og æde det hele fucking rub og stub. Jeg har ikke lyst til at dø1.

Min forrige blog Jeg er her endnu sluttede hvor jeg netop havde fået en KAG hjerteoperation. Men også fået stillet i udsigt, at jeg skulle have én mere - eller måske en bypass operation - i løbet af et par måneder.

Én ting er at opleve en akut blodprop i hjertet, det giver stof til eftertanke. Men det er nu også forbundet med en hel del tankevirksomhed og eftertænksomhed, at gå og vente på en planlagt hjerteoperation.

Jeg fik min anden operation i foregårs. Nu er jeg på den anden side - af operationen.

Jeg er alene hjemme, alt ånder fred og ro, alle dørene i huset står vidtåbne og sensommeren strømmer ind. Jeg føler mig som genfødt, operationen forløb fuldstændigt ukompliceret. De havde ellers planlagt det helt tung skyts. Kirugen som opererede mig første gang akut havde prøvet at komme igennem den tillukkede kranspulsåre, men der var fuldstændig, helt og aldeles lukket.

For et par uger siden var jeg inde og blive CT scannet. Formålet var at se hvor stor en del af mit hjertevæv som var skadet eller gået til. Det giver ikke så meget mening at genetablere blodgennemstrømning til en del af hjertet som allerede er gået tabt. Scanningen viste, at ca 11% af mit hjerte havde iltmangel, men også at der formentlig endnu var liv i det hele blot i mindre grad.

Der var altså fint basis for at gå ind igen og åbne for den tillukkede kranspulsåre. Så denne gang var der afsat 3 timer, det var planlagt at to kiruger skulle ind med hver sin wire samtidig. Den ene skulle gå via de helt tynde årer, som mit hjerte selv havde dannetved at forlænge spidserne af de alleryderste årer i de forgreninger der kommer fra en af de andre to kranspulsårer. Når de havde fundet vej skulle de kunne prikke, lirke og massere den totalt tillukkede åre åben fra hver sid side, med tykkere og tykkere wire, indtil det enten lykkedes, eller man måske måtte give op og planlægge en bypass operation i stedet.

Det var hvad jeg var blevet stillet i udsigt. Og det gik godt. Langt bedre end forudset faktisk.

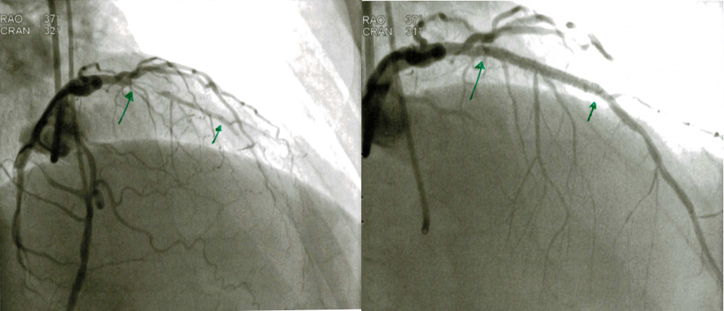
Jeg fik åbnet i begge mine lysker og sprøjtet kontrastvæsken ind. På skærmen tonede en træstruktur frem.

“Hmm, det ser da meget godt ud.” sagde kirugen. “Det ser ud om der faktisk er en lille passage.”

På billedet hvor der var forventet en totalt tillukket åre kunne vi skimte en lille hårtynd streg.

Mit hjerte før og efterPå det billedet til venstre, Ved den venstre grønne fil, kan man se en lille hårtynd streg. Her havde både den første kirug og CT scanningen konstateret at der var helt tillukket. På billedet til højre er der åbnet og indsat en stent.

Kirugen fortsatte med at arbejde alene og med den bløde undersøgelseswire som benyttes til injektion af kontrastvædske og helt ukomplicerede indgreb. Efter bare 30 minutter udbrød kirugen “Så er vi igennem!”. Jeg fulgte med på skærmen da han lavede ballonudvidelsen. Det lignede et lille fyrværkeri da blodet begyndte at strømme fra kranpulsåren ud i de tynde forgreninger i den del af hjertet, der tidligere bare havde været forsynet af de små nødpassager, som mit hjerte selv havde lavet.

Selv kirugen var lidt forundret over den markante effekt: “Det undrer mig nu, at du ikke har haft nogen symptomer overhovedet, jeg tror godt, at de folk du plejer at cykle mountainbike med, kan forvente en helt ny cykelpartner.”

Der er bogstaveligt talt, faldet en sten fra mit hjerte. Men jeg har også indset, at der er dele af mit liv, og den måde som jeg lever det på, som jeg skal tage fuld kontrol over og der er så uendeligt mange ting jeg stadig skal lære.

Mit hjerte - og min far

Da jeg skrev til min kollegaer hvad der var sket efter den første blodprob for otte uger siden, og at jeg var indlagt op Rigshospitalet var der én af den som svarede noget i stil med: “Riget! Så er du i de bedste hænder, du skal nok komme dig.” På mange måder beskriver den kommentar også meget godt min egen opfattelse af forløbet. Tænk engang, at man kan operere hjertet igennem et indgangshul i håndleddet eller lysken, mens patienten er ved fuld bevidsthed og selv kan følge med hele vejen på en skærm. Det er vildt at det kan lade sig gøre, men der er særlig én ting ved det, som har fyldt mig med eftertænksomhed.

Min far, Børge Kruse, døde da jeg var 5 år gammel, af en yderst agressiv hudkræft, som udviklede sig til lungekræft. Formentlig forårsaget af et uheld 7 år tidligere, på hans arbejdsplads Risø, hvor han var ansvarlig for isotoplaboratoriet2 og udviklingen af fosfor-32 (32P), en radioaktiv isotop som har en halveringstid på bare 14 dage. Det samme radioative stof som man injekserer i patienter som mig.

Børge Kruse på RisøCelle indrettet til radiokemisk separation af 32P, som er en ren beta-emitter. Der behøves derfor kun en afskærmning af plexiglas for at beskytte personen mod strålingen. Forskeren på billedet er civilingeniør Børge Kruse, som var ansvarlig for en stor del af laboratoriets isotoparbejde i de første mange år. Isotoplaboratoriet leverede fra starten i 1959 store mængder såkaldt carrier-free 32P til undersøgelser af afgrøders næringsoptagelse både på Risøs egen Landbrugsforsøgsafdeling og dets statslige forsøgsvæsen.

Lidt vild tanke, som jeg ligger der med wire oppe i hjertet og følger med, at der eksisterer en så direkte reference til at det overhovedet kan lade sig gøre, og så det arbejde som min egen far, som jeg aldrig lærte at kende, var dedikeret til.

Otte uger

I udskrivelsespapiret noterede kirugen at han havde foretaget en fuldstændig almindelig, helt ukompliceret ballonudvidelse med stent. Men hvordan opstod den hårtynde passage i den mellemliggende periode? Var det den blodfortyndende medicin? Den megen motion? Mine ændrede kostvaner?

De her små otte uger, der er gået fra jeg røg ind med en blodprop og frem til nu, hvor mit hjerte er clean as a whistle, tilbage på fuld kapacitet og uden iltunderskud har været en meget intens periode i mit liv.

Lad mig fortælle hvad der er sket i den mellemliggende periode, mellem de to operationer.

Så længe jeg kan huske tilbage, har jeg altid søgt plausible forklaringer på det jeg oplever og som jeg ikke umiddelbart forstår. I de situatinoer reageer jeg ved at skaffe mig noget viden om det. Måske en occupational hazard fra mit virke som software-geek: “Gi’ mig en manual, så skal vi nok få styr på det”. I den krise som blodproppen repræsenterede var den første neddykning i detaljen at lære mere om hjertets anatomi om hjertekarsygdomme, om det medicin man bruger og de operationer man tilbyder. Senere kom det uundgåeligt også til at handle om kolesterol, fedt, kost og levevis - og så naturligvis motion.

I resten af denne blog, vil jeg i en uordentlig associationsrække dele nogen af de indsigter - og plausible forklaringer - som jeg er kommert frem til, igennem mine mange (mange) timers læsning af blogposts, artikler og forskninsrapporter altsammen tilgængeligt på internettet. Jeg har lavet en del henvisninger til der hvor jeg har fundet det, men noteapparatet er ikke komplet, så hvis du synes der mangler henvisninger til noget af det, så skriv det i kommentarerne, så skal jeg grave det frem igen.

Sandheden om kolesterol

Mit kolesterol er forhøjet, det er formentlig arveligt betinget, og jeg var begyndt, 3 månder før blodproppen, at spise kolesterolsænkende medicin dagligt. Men efter mange times læsning af alt lige fra blogposts, til forskningsrapporter, tegner der sig et noget andet billede en den klassiske pixi-bog fortælling om “Det gode og det onde kolesterol”.

Det som vi kalder blodpropper er reelt, præcis det: Korguleret blod som danner en prop. Det opstår fordi der på indersiden af årerne dannes plak, en ophobning af koleterol og kalk, som har lettere kår for at dannes ved forhøjet blodtryk, men som desuden har en inflamatorisk tilstand. Denne plak kan til en vis grad have harakter af et sår, som blodet krogulerer omkring. Det er altså ikke bare tilstedeværelsen af kolesterol der er skurken, der finds en katalysator som er en slags betændelsestilstand, som kommer fra… Hvad?

…Jah, det er uvist! Der findes mange bud: Stress, betændelse andre steder i kroppern, f.eks. en tandbyld og tonsvis af andre gæt. Men ikke nogen smoking gun, ikke noget det peger entydigt i én retning. Hvorfor der opstår inflamatoriske tilstande, som starter det hele forbliver en relativ ubekendt.

Den behandling man tilbyder er at rette op på de akutte skader, det vil sige at sætte stents eller foretage bypass operationer, og så fjerne så mange af de indvirkenende faktorer som muligt: Sænk kolesterolniveauet, regulér blodtrykket, fjern/fortynd blodets evne til at korgulere.

Mættet fedt - selve ondets rod! …eller?

Da folk i det 20. århundrede begyndte at få hjertelidelser af nærmest epidemiske proportioner fik man hurtigt skabt korrelation at hjertelidelser var relateret til højt kolesterol i blodet. Og at mættet fedt forhøjer kolesterolet i blodet.

Derfor kom man op med den konklusion at:

“Hvis mættet fedt forhøjer kolesterolet (A er årsag til B) og kolesterol giver hjertelidelser (B er årsag til C) så må det betyde, at mættet fedt giver hjertelidelser (A er årsag til C)”.

Teorien går under betegnelsen diet-heart hypothesis og var endnu fuldstændig ubekræftet da den i 1977 blev lagt til grund for (USA’s) sundhedspolitik på området. Andre nationer fulgte hurtigt efter og det blev national sundhedspolitik i mange lande verden over. Stadig fuldstændig ubekræftet. I dag har vi meget mere viden, som viser at denne teori er delvis forkert, men vi anbefaler stadig at undgå mættet fedt.

Mere om det, men først en omvej tilbage til kolesterolet.

Vi kender kolesterol som HDL og LDL og har lært at hende forskel på H og L med assosiaionerne H=Herlige og L=Lede. så altså “Det herlige Kolesterol” og “Det lede Kolesterol”.

HDL og LDL er forkortelser for henholdsvis High-density lipoprotein og Low-density lipoprotein. Så langt altså endnu ikke et ord om kolesterol. Kolesterol er bare kolesterol, altså fedt som vores celler ikke kan leve uden. Lipoproteiner binder kolesterolet og bærer kolesterol rundt i kroppen via blodbanerne. Det er smart, nu kan fedtmolekyler transporteres i blodet, som jo er en vandopløselig vædske. De kæder ef kolesterol som lipoproteinerne bærer kan have en høj eller lav tæthed, altså et mål for hvor hårdt molekylerne binder til hinanden.

Til at begynde med, for år tilbage, målte man bare på mængden af kolesterol, og først senere lærte man, at LDL medfører forhøjet risiko og HDL eliminerer risiko. At måle på kolesterol generelt er altså totalt misvisende fordi den største mængde kolesterol er bundet i HDL - som er meget tættere og som reelt er “det gode”.

Mættet fedt blev afskrevet som gift, på basis af diet-heart hypotesen. Fordi det beviseligt forhøjer LDL, men det forhøjer også HDL - og bør derfor ikke sådan uden videre afskrives. I hvert tilfælde ikke på baggrund af ammestuehistorier og antagelser.

Hvad der er mere interessant er, at LDL også optræder i to forskellige former3:

  • Small dense LDL: Små lipoproteiner som er tætte og kan penetrere blodårerne, de fører til hjertelidelser.
  • Large fluffy LDL: Store lipoproteiner, som er bløde og oppustede og derfor ikke kan penetrere årerne, der har ingen indflydelse på risiko for hjertelidelser.


Small dense vs Large fluffy kan sammenlignes med et majskorn, som kan poppes til et popcorn.

De små tætte LDL’er har iøvrigt også meget nemmere ved at oxidere, som er en vigtig medvirkende årsag til hjertelidelser. Alt i alt har folk med små tætte LDL’er har tre gange højere risiko for hjertelidelse end folk med store LDL’er.

Det er altså en undergruppe af LDL, som er farlig. Men det viser sig, at ved at indtage føde med mættet fedt ændres de små tætte LDL’er til store oppustede LDL’er. Så selvom mættet fedt nok forøger LDL’et i blodet, så medvirker det også til at ændre den farlige LDL til den harmløse poppede type.

Det er en myte at mættet fedt er entydigt usundt4!

Væk med fedtet på maven - Det er sukkeret der er banditten!

De sidste 10 år har mit BMI ligget lige over det accetable for min højde - teknisk set var jeg overvægtig. “Det skal fan’me være løgn” tænkte jeg. “jeg har ikke lyst til at dø”. Jeg begyndte at læse om ernæring og kost - utallige blogposts og forskningsrapporter.

Det fedt vi har omkring maven er det farligste på kroppen, men det er svært at komme af med, det kan ikke trænes væk gennem styrketræning af mavemusklerne, det skal brændes af.

Jeg fandt en inspirerende artikel5Healthline, som samler en række dokumenterede undersøgelser og anerkendt viden på området.

  • Spis masser af opløselige fibre
  • Undgå transfedtsyrer
  • Drik ikke for meget alkolhol
  • Spis masser af protein
  • Undgå stress
  • Undgå sukker
  • Lav Aerobic (Cardio) træning
  • Begræns kulhydrater, specielt de raffinerede
  • Erstat noget af stegeolien med kokosolie
  • Lav styrketræning
  • Undgå sukkerdrikke
  • Få masser af søvn
  • Før journal over det du spiser og træner
  • Spis fed fisk hver uge
  • Undgå at drikke frugtjuice
  • Tilføj Æbleeddike til dit daglige kosttilskud
  • Spis mad med mælkesyre bakterier, eller tag det som kosttilskud
  • Sporadisk faste
  • Drik grøn the
  • Kombiér alle tingen på listen, lev varieret


Yep! Alkohol er sundt i små mængder dagligt, sundere end at drikke den samme mængde alkohol fordelt over færre dage med pauser imellem. Du skal altså drikke som en fransk bjergbonde, ét glas om dagen i forbindelse med din mad, og ikke som en partyabe.

Aerobic træning er at gå, løbe, cykle og svømme, det brænder der kalorier af og træner hjertet, men opbygger ikke vores muskler.

Hele diskussionen og mættede vs umættede fedtstoffer har fået et nyt perspektiv med moderne forskning. Kokosolie er sundt!

Styrketræning øger muskelmassen. Når man taber sig på aerobic træning vil ca en fjerdedel være muskelmasse, den skal genopbygges. En forøget muskelmasse forhøjer forbrændingen.

Masser af søvn vil sige mindst 7 timer god søvn, hvert døgn.

Frugtjuice er nok sundt på vitaminer men det indeholder alt for meget sukker, lige så meget som almindelig sodavand.

1-2 spiseskefulde æbleeddike hver dag er sundt - eddikesyre forbrænder fedt.

Enten én dags faste hver eller hver anden uge, eller faste hver dag, det vil sige at al daglig føde indtages i et vindue på 8 timer, og altså 16 timers daglig faste. F.eks spis ikke efter 19:00 og spis så første igen kl 11:00 den efterfølgende dag.

Hmmm. Måske havde jeg hørt meget af det her før, men måske ikke reelt hørt det. I hverttilfælde ikke efterlevet det.

Low-carb bølgen

I min søgen på internettet hvor jeg hopper fra den ene blog til den anden, med sporadiske besøg til de forskningsrapporter de bygger på bliver det tydligt, at der tegner sig et mønster, at det er sukker, faktisk kulhydrat over en bred kam, der er problemet.

Når vi spiser sukker og stivelse stiger blodsukkeret, helt uden at vores stofskifte skal foretage sig noget som helst. Sukkeret går direkte i blodet. Så dannes der insulin som kan nedbryde det, men insulin er samtidig et signalstof, som fortæller vores fedtdepoter, at vi har al for meget energi i kroppen og det er bare med at komme igang med at lagre den.

Når man ikke spiser sukker eller kulhydrat vil vores stoffskifte selv regulere vores blodsukker, ved at bruge den energi som er tilgængelig enten via vores føde eller vores fedtdepoter. Der dannes stort set ikke noget insulin i den process.

Man bliver ikke fed af at spise fedt, men bliver fed at at spise sukker og kulhydrater.

Det viser sig at sult er en følelse som opstår når vores blodsukker falder, uanset hvor højt det er. Det vil sige, at hvis man bæller en sodavand, så går blodsukkeret amok, men snart er der dannet insulin og kort tid efter falder blodsukkeret igen. Fra et ekstremt højt niveau til et relative højt - men trods alt lavere - niveau. Men dét at det falder gør, at man vil føle sult.

Man bliver sulten af at spise sukker!

Ketose

Det viser sig endda at historien om at vores celler kun kan få energi fra glyckoler ikke er sand. Når vores stofskifte kommer op på de høje nagler med at omdanne vores fedt, så dannes der ketoner i leveren.

Ketoner er en ligeså anvendelig energikilde til vores celler som glykose.

Når vi faster, uanset om det er en dag om ugen, eller 16 timer om dagen, og iøvrigt ikke indtager mere end ca 20g kulhydrat om dagen. Så vil kroppens forbrænding gå i ketose. En tilstand som er forbundet med en følelse af et enormt energi overskud og stort set ingen sultfølelse.

Ketoner er reelt affaldsstoffer, et restprodukt der produceres i leveren ved fedtforbrænding. Det er ikke anbefalet at man lever konstant i ketose, men det er beviseligt sundt at være det en gang imellem.

Ny kostplan

“What the F*@&!” - Hvorfor vidste jeg ikke det her? Hvorfor lærer vi ikke det i skolen, hvorfor er alle light produkterne i supermarkedet, som nok er fedtfattige men til gengæld proppet med sukker, ikke blevet forbudt for længe siden?

25% af alle danskere skal ende med at dø af hjertekarsygdomme. Og det er sukkeret der er banditten!

De sidste 8 uger har jeg levet at en low-carb kost; æg, fisk, kød, grøntsager - men kun dem der vokser over jorden, nødder, frø, ost, smør, olier, mayonnaise, stenalderbrød, vin…

I realiteten spiser jeg alt blot ikke sukker og stivelse. Det vil sige stort set ikke nogen kornprodukter, det betyder også ris, brød, øl og heller ikke noget pasta, ikke nogen grøntsager, der vokser under jorden, f.eks. kartofler, gulerødder, rødbeder, jordskogger, selleri. De indeholder alt for meget stivelse.

I mit tilfælde havde jeg også brug for at tabe mig, så jeg købte mig et aktivitets/puls ur og indstallede en health app på min smartphone. Nu gik jeg i gang med a knaste alt jeg spiste ind i app’en, så jeg kunne se hvor mange kalorier jeg indtager og hvor mange jeg forbrænder. Min health app hjælper mig også med at holde styr på at energikilden primært er fedt, sekundært proteiner og kulhydrat kun 10-20% af min energikilde.

Et kilo fedtvæv i menneskekroppen indeholder ca 7500 kcal, Jeg fortalte min health app at jeg gerne ville tabe mig 8 kilo på 10 uger, jeg skulle altså planlægge et energiunderskud på ca 860 kcal om dagen. For ikke at man skal ændre alt for meget på sine kostvaner, skal differencen mellem indtaget og forbrugt energi primært opnås ved øget aktivitetsniveau, ikke ved at sulte sig selv.

Jeg begyndte at tælle kalorier - og dyrke motion hver dag: Kondicykel, mountainbike, HIIT træning hjemme på stuegulvet, løbeture. Jeg begyndte at springe morgenmaden over. Dagens første måltid spiser jeg omkring frokost, det giver de fleste dage, en daglig fasteperiode på ca 14-18 timer. Jeg går i seng mindst en time tidligere end jeg har haft for vane. Jeg drikker stadig masser af kaffe, men tidligere ku’ jeg godt drikke kaffe om aftenen, det gør jeg ikke mere.

Iøvrigt er jeg ikke fanatisk med noget af det, i den mellemliggende periode har jeg både spist is, crossainter, Sushi (ris), drukket øl. Men det er ikke noget jeg gør dagligt. Jeg spiser også en lille smule brød, men stortset kun fuldkornsbrød med et fiberindhold på 10% eller mere. Frugt indeholder en masse sukker, men det spiser jeg også en smule af, for det indeholder også en masse fibre - og det skal der til.

Den morgen jeg fik min første blodprop stod jeg op på vægten, den stod på 87,1 kg. Her til morgen præcis 8 uger senere siger den 78,3 kg. Det er en lille smule mere end et kilo om ugen.

Jeg husker for 25 år siden, da jeg stoppede med at ryge, at jeg forestillede mig det vill være et fattigt liv uden cigaretter. Jeg havde røget i 10 år på det tidspunkt. Jeg elskede at ryge, men indså at det ikke kunne fortsætte. Det viste sig at jeg bare følte et kæmpe energioverskud, som så rigeligt kunne opveje det afsagn jeg havde frygtet.

Jeg har det meget på samme måde med mine nye kostvaner og levevis. Den fede mad give en helt anden mæthedsfølelse. Jeg har stort set ikke følt sult i de seneste 8 uger. Jeg har masser af energi. Motionen betyder endofiner - næsten hver dag. Man bliver glad i låget af det.

Igennem - og ændret for altid

Det var for tidligt for mig at dø, jeg har ændret en hel del ydre omstændighedr omkring mit liv på de her otte uger, hvor jeg har gået og ventet på udfaldet og omfanget af min anden operation. Jeg føler mig meget taknemmelig over at det trods alt er endt som som det er. Rent fysiskt har jeg det bedre end jeg har haft det i over 25 år. Jeg har ingen mén eller symptomer overhovedet. I min gamle livrem bruger jeg nu samme hul, som dengang jeg blev gift og jeg har masser af god energi både fra den kost jeg spiser og den motion jeg dyrker stort set dagligt.

Men der er noget andet ved det at have været så tæt på at skulle herfra, som ikke er slut efter otte uger og 2 operationer. Det har ramt mig med en eftertænksomhed og en en tilstand af refleksion, som gør at jeg tænker mere end nogensinde hvad jeg vil med resten af mit liv. Jeg går efter at det skal vare 30-40 år endnu. Jeg skal ha’ sat mig godt tilrette i førersædet - fokus på det der giver mening, det der gør en forskel.

Det er li’som et nyt liv der starter, jeg går og fordøjer det, der er mange (MANGE) ting der skal være anderledes i fremtiden.

Det føles godt at være her nu, jeg glæder mig.

  1. De Eneste To (Kvam+Sommer), 2010, “Jeg har ikke lyst til at dø”. 

  2. Foto fra 1960. Steno Instituttets Billedsamling. Billedteksten er fra udgivelsen Makinerne i haven 

  3. Low-Density Lipoprotein Subclass Patterns and Risk of Myocardial Infarction 

  4. 5 Studies on Saturated Fat — Time to Retire the Myth? 

  5. 20 Effective Tips to Lose Belly Fat (Backed by Science)